Tạp chí điện tử Sức khỏe Việt - Cơ quan ngôn luận của Hội Nam Y (Hội YDHCT) Việt Nam - Kết quả tìm kiếm cho từ khóa "
tích tụ protein ", chúc bạn tìm được nội dung mong muốn trên https://suckhoeviet.org.vn/
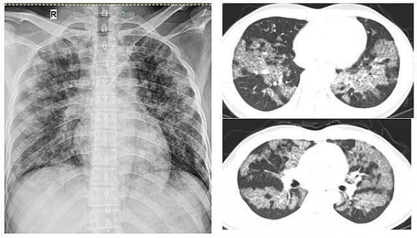
Bệnh viên đa khoa tỉnh Phú Thọ: Điều trị ca bệnh tích tụ protein phế nang hiếm gặp bằng phương pháp rửa phổi
00:01 | 11/10/2023
SKV - Người bệnh 31 tuổi mắc bệnh lý hiếm gặp gây khó thở, tức ngực khi gắng sức, tổn thương lan tỏa hai bên phổi, đã được các bác sĩ tại Bệnh viện đa khoa tỉnh Phú Thọ tiến hành rửa phổi.
Trước Sau
Hội Nam Y Việt Nam và hành trình lan tỏa yêu thương đến 280 hộ đồng bào Rục ở Kim Phú (Quảng Trị)
6 ngày trước Hoạt động hội
Trong hai ngày 12 và 13/12/2025, Hội Nam Y Việt Nam đã thực hiện một hành trình thiện nguyện đặc biệt, mang theo khoảng 20 tấn hàng hóa với tổng trị giá hơn 500 triệu đồng đến với đồng bào Rục tại xã Kim Phú, tỉnh Quảng Trị.
Diễn đàn quốc tế Lạc Bệnh Học lần thứ 21: Hội Nam Y Việt Nam làm cầu nối đưa Lạc Bệnh Học vươn tầm thế giới
23-11-2025 07:00 Tin tức
TTND. GS. TS. Trương Việt Bình khẳng định, Hội Nam Y Việt Nam sẽ tiếp tục mở rộng hợp tác quốc tế, đặc biệt với các cơ sở nghiên cứu hàng đầu của Trung Quốc và nhiều quốc gia khác, nhằm đưa Lạc bệnh học cũng như y học cổ truyền Việt Nam lên tầm cao mới.
Hội thảo khoa học “Sức khỏe não bộ: Phòng ngừa suy giảm và tăng cường trí nhớ” - Cùng hành động và chăm sóc sức khỏe cộng đồng
09-11-2025 17:00 Hoạt động hội
Ngày 9/11, tại Khu Du lịch Ao Vua (Hà Nội), hơn 200 đại biểu, chuyên gia, bác sĩ đầu ngành trong lĩnh vực y học hiện đại và y học cổ truyền đã tham dự Hội thảo khoa học “Sức khỏe não bộ: Phòng ngừa suy giảm và tăng cường trí nhớ”.
Chi hội Nam y Trà Vinh tổ chức thành công đại hội đại biểu lần thứ II, nhiệm kỳ 2025-2030
04-11-2025 10:14 Hoạt động hội
SKV - Vĩnh Long, ngày 3/11/2025 – Trong không khí hân hoan và trang trọng, Chi Hội Nam Y Trà Vinh trực thuộc Hội Nam Y Việt Nam đã long trọng tổ chức Đại hội Đại biểu lần thứ II, nhiệm kỳ 2025 – 2030, đánh dấu bước phát triển mới sau 5 năm hoạt động tích cực, hiệu quả trong công tác khám chữa bệnh bằng y học cổ truyền và chăm sóc sức khỏe cộng đồng.
Chi hội Nam y tỉnh An Giang lan tỏa yêu thương – trao gửi niềm tin tới người dân khó khăn khóm Long Thạnh
17-10-2025 21:58 Hoạt động hội
Thực hiện kế hoạch công tác thường niên quý III năm 2025, Chi Hội Nam y tỉnh An Giang đã tổ chức chương trình thiện nguyện ý nghĩa tại khóm Long Thạnh, phường Long Phú, tỉnh An Giang.


