Bệnh viên đa khoa tỉnh Phú Thọ: Điều trị ca bệnh tích tụ protein phế nang hiếm gặp bằng phương pháp rửa phổi
Người bệnh tiền sử khỏe mạnh. Khoảng 1 tháng nay có biểu hiện khó thở và tức ngực khi gắng sức. Khám lâm sàng ghi nhận người bệnh thể trạng tốt, không khó thở khi nghỉ, SpO2 96%, ngón tay dùi trống, phổi giảm thông khí hai bên, không có ran. Các cơ quan khác chưa ghi nhận bất thường.
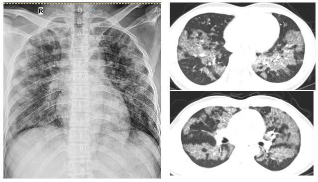
![]() |
| Người bệnh được chụp cắt lớp vi tính ngực cho thấy tổn thương lan tỏa hai phổi, đây chính là nguyên nhân gây khó thở |
Người bệnh được nội soi phế quản lấy dịch rửa phế quản làm xét nghiệm. Dịch rửa phế quản màu trắng đục, các xét nghiệm tìm vi khuẩn lao, tế bào ác tính đều âm tính.
Dựa trên các dữ liệu lâm sàng, xét nghiệm dịch phế quản và phim chụp cắt lớp vi tính ngực, người bệnh được chẩn đoán "Bệnh tích protein phế nang" và được chỉ định rửa phổi.
Sau khi được rửa phổi, người bệnh đã đỡ khó thở, các thông số chức năng phổi cải thiện và được ra viện sau 1 tuần, được hẹn vào viện tiếp tục rửa phổi lần 2.
![]() |
| Dịch rửa phổi của bệnh nhân |
Theo các bác sĩ Bệnh viện Đa khoa tỉnh Phú Thọ, bệnh tích tụ protein phế nang là một tình trạng tại phổi được gây ra bởi sự tích tụ protein và các chất khác một cách bất thường trong các phế nang, làm cản trở sự trao đổi khí. Đây là một căn bệnh rất hiếm gặp, thường phát triển ở người lớn nhưng cũng có thể là bẩm sinh.
Tình trạng này xảy ra thường xuyên hơn ở nam giới so với phụ nữ, thường ảnh hưởng đến những người trong độ tuổi từ 30 đến 60. Các yếu tố phơi nhiễm như bụi và hút thuốc làm tăng nguy cơ xảy ra bệnh tích tụ protein phế nang nên điều này có thể giải thích tại sao nó xảy ra thường xuyên hơn ở nam giới.
Về nguyên nhân gây ra bệnh tích tụ protein phế nang, trong phần lớn các trường hợp mắc bệnh ở người trưởng thành, nguyên nhân được nghi ngờ là do thiếu hoặc có vấn đề với yếu tố kích thích trưởng thành bạch cầu hạt và đại thực bào, làm cho các tế bào miễn dịch nhất định phát triển. Khi không có chất này, các phế nang không thể xóa sạch các thành phần dịch tráng phế nang có chứa protein. Điều này dẫn đến hệ quả là sự tích tụ một lượng protein nhất định trong phế nang và cuối cùng là làm suy giảm hô hấp
Điều trị chính của bệnh tích tụ protein phế nang cho đến ngày nay vẫn là rửa toàn bộ phổi. Rửa phổi là một thủ thuật xâm lấn bằng cách làm sạch từng bên phổi bằng một lượng lớn nước muối sinh lý trong khi bên phổi còn lại đảm nhận chức năng hô hấp. Hầu hết các bệnh nhân đều cải thiện khá tốt các triệu chứng khó thở, ho, nâng cao nồng độ oxy trong máu sau khi được rửa phổi một lần. Tuy nhiên, rửa phổi không là cách điều trị triệt để; vẫn có một số bệnh nhân cần rửa phổi lặp lại sau một thời gian dài tái phát.
Ngoài ra, người bệnh cần được hướng dẫn các biện pháp nâng đỡ khác như: Tránh tiếp xúc với độc tố hoặc chất kích thích; Thở oxy; Dùng thuốc giãn phế quản nếu có các triệu chứng giống hen suyễn
Trong một vài trường hợp, người bệnh bị tích tụ protein phế nang có thể được xem xét điều trị bằng phương pháp thay huyết tương hoặc ghép phổi.
Cùng chuyên mục
Mở rộng dịch vụ khám ngoài giờ, nâng cao hiệu quả điều trị cơ xương khớp và rối loạn phát triển ở trẻ
07:33 | 14/04/2026 Tin tức
Đắk Lắk: Hội thảo khoa học chia sẻ kinh nghiệm chăm sóc và điều trị vết thương mạn tính
19:02 | 11/04/2026 Tin tức
Gia Lai: Trung đoàn Thông tin 29 tổ chức thành công Hội thi Báo cáo viên giỏi năm 2026
11:20 | 11/04/2026 Tin tức
Hội nghị Ban Thường vụ Hội Nam Y Việt Nam lần thứ 14: Kiến tạo nền móng cho nhiệm kỳ mới và nâng tầm vị thế y học dân tộc
11:01 | 11/04/2026 Hoạt động hội
Bà Lâm Thị Phương Thanh giữ chức Bộ trưởng Bộ Văn hóa, Thể thao và Du lịch
20:29 | 10/04/2026 Tin tức
Đắk Lắk: khai mạc "Ngày hội Sách và Văn hóa đọc lần thứ 5 - năm 2026"
14:19 | 10/04/2026 Tin tức
Các tin khác
Hội Bảo vệ Người tiêu dùng Việt Nam bổ nhiệm, kiện toàn nhân sự Ban Thường vụ và Ban Chấp hành
15:19 | 08/04/2026 Tin tức
Lâm Đồng: Giải vô địch các đội mạnh lân sư rồng toàn quốc năm 2026 có 16 đoàn tham gia
09:13 | 08/04/2026 Tin tức
Công bố top hàng hóa, dịch vụ được người tiêu dùng tin cậy năm 2025
09:55 | 07/04/2026 Tin tức
Lâm Đồng: Chấn chỉnh công tác kiểm soát giết mổ, tăng cường kỷ luật, kỷ cương trong thực thi công vụ
09:02 | 07/04/2026 Tin tức
Lâm Đồng: Kinh tế - xã hội đạt nhiều kết quả tích cực trong quý I năm 2026
20:14 | 06/04/2026 Tin tức
Hưởng ứng Ngày Sức khỏe toàn dân: MEDLATEC chung tay nâng cao nhận thức chăm sóc sức khỏe chủ động
13:30 | 06/04/2026 Dấu ấn Việt Nam
Kỷ niệm 15 năm thành lập, Tạp chí Công nghiệp Nông thôn ra mắt phiên bản điện tử
10:31 | 06/04/2026 Tin tức
Thành phố Hồ Chí Minh: Lan tỏa Ngày Sức khỏe toàn dân (07/4) vì một Việt Nam khỏe mạnh
10:00 | 06/04/2026 Tin tức
Trường Mầm non Sao Mai: Tăng cường giám sát giao nhận và bảo đảm vệ sinh an toàn thực phẩm
20:09 | 04/04/2026 Tin tức
TP Hồ Chí Minh kiểm soát tốt bệnh não mô cầu và COVID-19
21:28 | 03/04/2026 Tin tức
Hội nghị Ban Thường vụ Hội Nam Y Việt Nam lần thứ 14: Kiến tạo nền móng cho nhiệm kỳ mới và nâng tầm vị thế y học dân tộc
2 ngày trước Hoạt động hội
Hành Trình "Về Nguồn": Lãnh Đạo Hội Nam Y Việt Nam Dâng Hương Tại Cụm Di Tích Y Thánh Tuệ Tĩnh
01-04-2026 21:00 Hoạt động hội
Chi hội Nam Y tỉnh Thái Nguyên: Tổng kết công tác năm 2025 và triển khai nhiệm vụ trọng tâm năm 2026
26-03-2026 21:00 Hoạt động hội
Thiền Năng lượng sinh học: Hành trình lan tỏa sức mạnh chữa lành từ tâm
23-03-2026 08:00 Hoạt động hội
Hội Nam Y Việt Nam Tổng kết Hoạt động năm 2025 và Phát động phong trào Thi đua năm 2026: Khát vọng vươn tầm Y học Dân tộc
21-03-2026 21:00 Hoạt động hội





