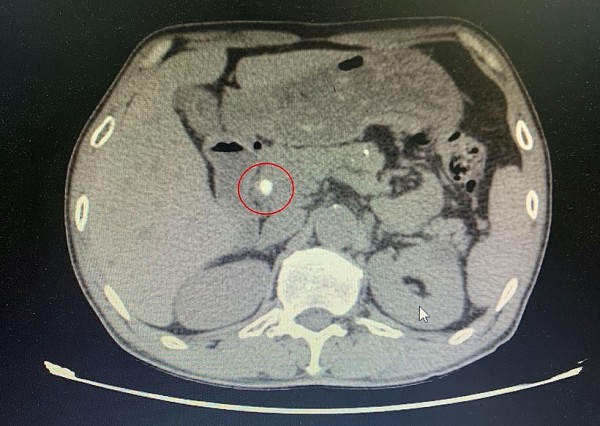
Phẫu thuật nội soi lấy dị vật kim loại trong gan – Ca bệnh hiếm gặp được xử trí thành công
15:12 | 11/02/2026
Phẫu thuật cắt túi mật chứa hơn 40 viên sỏi cho nữ bệnh nhân
08:59 | 24/06/2024
Quảng Ninh: Phẫu thuật nội soi lấy sỏi ống mật chủ cho bệnh nhân
17:28 | 14/12/2023
Phẫu thuật nội soi cột sống cho bệnh nhân cao tuổi
10:10 | 18/11/2023
Lấy 400 viên sỏi từ túi mật bệnh nhân
16:42 | 07/04/2023
Phẫu thuật nội soi cứu sống cụ bà 91 tuổi bị ung thư dạ dày
20:01 | 04/01/2023
Hội nghị Ban Thường vụ Hội Nam Y Việt Nam lần thứ 14: Kiến tạo nền móng cho nhiệm kỳ mới và nâng tầm vị thế y học dân tộc
7 ngày trước Hoạt động hội
Hành Trình "Về Nguồn": Lãnh Đạo Hội Nam Y Việt Nam Dâng Hương Tại Cụm Di Tích Y Thánh Tuệ Tĩnh
01-04-2026 21:00 Hoạt động hội
Chi hội Nam Y tỉnh Thái Nguyên: Tổng kết công tác năm 2025 và triển khai nhiệm vụ trọng tâm năm 2026
26-03-2026 21:00 Hoạt động hội
Thiền Năng lượng sinh học: Hành trình lan tỏa sức mạnh chữa lành từ tâm
23-03-2026 08:00 Hoạt động hội
Hội Nam Y Việt Nam Tổng kết Hoạt động năm 2025 và Phát động phong trào Thi đua năm 2026: Khát vọng vươn tầm Y học Dân tộc
21-03-2026 21:00 Hoạt động hội



