Lần đầu vi phẫu thành công cứu sống ngón tay thủy thủ bị đứt rời sau 25 giờ
| Hải Phòng: Phẫu thuật chuyển ngón chân lên thay thế ngón tay bị nghiền nát do tai nạn lao động Bệnh viện Trung ương Thái Nguyên phẫu thuật nối liền bàn tay bị đứt rời cho một bệnh nhi |
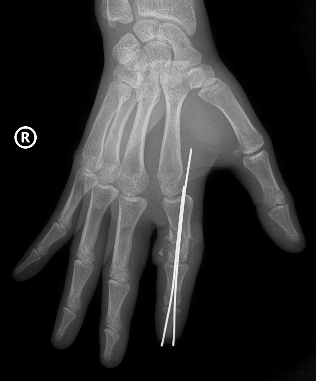
![]() |
| Hình ảnh phần ngón tay bị đứt rời của bệnh nhân được định vị và cố định bằng kim chuyên dụng - Ảnh: VGP |
Theo thông tin từ Bệnh viện Hữu nghị Việt Đức, trong khi đang làm nhiệm vụ trên tàu viễn dương, gặp bão sỗ 12 đổ bộ, một thủy thủ đã gặp tai nạn khi đang sửa chữa thiết bị, khiến anh bị đứt rời ngón trỏ tay phải.
Rất may, các thuyền viên trên tàu đã nhanh chóng sơ cứu và bảo quản phần chi thể đứt rời vào bình giữ nhiệt, đưa bệnh nhân lên bờ và tiếp cận cơ sở y tế gần nhất tại miền Trung. Trong tình huống khẩn cấp, sau khi được nhân viên y tế hỗ trợ xử trí cấp cứu, bệnh nhân mong muốn được nối lại phần chi thể đứt rời và đã quyết định đến Bệnh viện Hữu nghị Việt Đức (cơ sở Hà Nội) để thực hiện. Tổng thời gian thiếu máu dài, lên tới 25 giờ.
Tại đây, các chuyên gia đã đánh giá phần chi thể đứt rời và ghi nhận, phần chi thể đứt rời đã được sơ cứu - bảo quản đúng cách, khớp ngón tay còn mềm, cấu trúc mô được bảo toàn tốt. Bệnh viện lập tức hội chẩn đa chuyên khoa gồm phẫu thuật tạo hình thẩm mỹ, gây mê hồi sức, chấn thương chỉnh hình để đưa ra chiến lược xử trí tối ưu và quyết định thực hiện vi phẫu nối lại ngón tay cho người bệnh.
Trong phòng mổ, kíp phẫu thuật cấp cứu được triển khai với sự phối hợp đa chuyên khoa: vi phẫu tạo hình, gây mê hồi sức, chấn thương chỉnh hình… Hai kíp phẫu thuật được triển khai song song, một kíp làm sạch và chuẩn bị phần ngón đứt rời, kíp còn lại chuẩn bị phần mỏm cụt.
Xương ngón được định vị và cố định bằng kim chuyên dụng để tạo trục vững, hệ thống gân và dây chằng được phục hồi. Đặc biệt là thần kinh và các mạch máu nhỏ li ti chỉ khoảng 0,8 - 1mm được phục hồi với độ chính xác cao dưới kính hiển vi phẫu thuật cùng dụng cụ đặc biệt, nhằm đảm bảo phục hồi lưu thông tưới máu cho phần đứt rời.
Đây là kỹ thuật đòi hỏi sự tinh vi ở mức cao nhất, vì chỉ một mối nối mạch máu không thông, dòng máu không thể nuôi được đầu ngón và phần chi sẽ hoại tử. Với trường hợp thiếu máu kỷ lục kéo dài 25 giờ, từ lượng máu tưới đến nhiệt độ của ngón tay, kiểm soát nguy cơ co thắt mạch và giám sát tuần hoàn ngoại vi sau mổ là rất quan trọng, nhằm đảm bảo ngón tay được hồi sinh trọn vẹn.
![]() |
| Hiện, bệnh nhân đang được tập phục hồi chức năng để lấy lại khả năng vận động của ngón tay. Ảnh: VGP |
Cách sơ cứu phần chi bị đứt rời
TS.BS Vũ Trung Trực, Phó Trưởng khoa Phẫu thuật Hàm mặt, Tạo hình và thẩm mỹ, Bệnh viện Hữu nghị Việt Đức, người trực tiếp thực hiện ca phẫu thuật, chia sẻ, đây là trường hợp cực kỳ đặc biệt. Trong những ca nối chi thể, thời gian thiếu máu kéo dài thường là rào cản rất lớn. Trước phẫu thuật, người bệnh và phần cơ thể đứt rời cần được đánh giá kỹ.
Trường hợp này, nhờ bảo quản phần chi thể đứt rời đúng cách ngay từ hiện trường, khớp ngón tay không bị cứng nhờ được bảo quản ở nhiệt độ phù hợp. Một yếu tố nữa, cấu trúc ngón tay (bao gồm: xương, da, dây thần kinh, mạch máu) có khả năng chịu thiếu máu tốt hơn so với phần chi thể có nhiều cơ nên phần ngón tay bị thiếu máu 25 giờ nhưng vẫn có thể được nối lại. Đồng thời, đội ngũ y bác sĩ giàu kinh nghiệm và sự phối hợp tốt giữa các chuyên khoa là thế mạnh của Bệnh viện. Đây chính là những điểm quyết định lớn đến thành công của ca phẫu thuật.
Sau phẫu thuật, vết thương của bệnh nhân đã liền, ngón tay hồng, sống hoàn toàn, người bệnh đã có thể cắt chỉ và rút kim cố định. Hiện, bệnh nhân đang được tập phục hồi chức năng để lấy lại khả năng vận động và cảm giác của ngón tay.
Các chuyên gia y tế khuyến cáo, tai nạn đứt rời ngón tay, bàn tay hay các phần cơ thể có thể xảy ra bất cứ lúc nào, vì vậy, người dân cần trang bị kiến thức sơ cứu đúng cách, vì đây là yếu tố quyết định khả năng cứu sống chi thể.
Cụ thể, không rửa, không ngâm chi thể đứt rời vào bất kỳ dung dịch nào. Trong trường hợp phần đứt rời trong môi trường bẩn nhiều dị vật, có thể rửa dưới vòi nước sạch, tốt hơn là nước uống tinh khiết hoặc nước đun sôi để nguội.
Bọc phần chi thể bằng gạc/khăn sạch, cho vào túi nylon và buộc kín (tránh tiếp xúc trực tiếp với đá lạnh). Đặt túi đựng chi thể vào một túi khác có chứa đá lạnh.
Giữ phần chi thể trong môi trường sạch, ổn định nhiệt độ và vận chuyển nhanh nhất có thể. Đồng thời, đưa người bị nạn đến cơ sở y tế gần nhất để được xử trí và hướng dẫn tiếp theo.
Người dân không tự ý xử lý, không dùng thuốc, hóa chất sát trùng lên phần chi đứt rời.
Việc trang bị kiến thức sơ cứu, bình tĩnh xử lý và bảo quản đúng ngay từ hiện trường giúp gia tăng đáng kể khả năng thành công của phẫu thuật, giúp phục hồi chức năng và thẩm mỹ, giảm nguy cơ tàn tật cho người bị tai nạn.
Tin liên quan
5 nhóm nhiệm vụ trọng tâm của ngành Y tế
07:00 | 11/03/2026 Dấu ấn Việt Nam
Dự báo thời tiết ngày 11/3/2026: Bắc Bộ sáng sớm có sương mù, ngày nắng
05:30 | 11/03/2026 Môi trường xanh
Xây dựng quy định mới về giám sát bệnh truyền nhiễm
08:00 | 10/03/2026 Tin tức
Cùng chuyên mục
Ứng cử viên HĐND phường Hoàng Liệt, Nguyễn Văn Tuân: “Đưa hơi thở thực tiễn vào chương trình hành động”.
20:36 | 10/03/2026 Dấu ấn Việt Nam
Chuỗi hoạt động ý nghĩa Chào mừng ngày Quốc tế Phụ nữ 8/3 của các bé lớp C1 - Trường Mầm non Sao Mai
13:37 | 07/03/2026 Dấu ấn Việt Nam
Khơi dậy tinh thần chủ động chăm sóc sức khỏe trong giai đoạn mới
08:00 | 04/03/2026 Dấu ấn Việt Nam
Lễ hội Hải Thượng Lãn Ông 2026: Lan tỏa giá trị y đức, phát huy tinh hoa y học cổ truyền
18:53 | 02/03/2026 Thông tin đa chiều
Tỏa sáng Y đức – Vững bền Y thuật – Phát huy tinh hoa Nam y vì sức khỏe nhân dân
00:00 | 27/02/2026 Dấu ấn Việt Nam
AI trong bệnh viện: Người bệnh được lợi gì?
22:43 | 26/02/2026 Dấu ấn Việt Nam
Các tin khác
Việt Nam và Cuba tăng cường hợp tác trong lĩnh vực xuất bản sách
22:10 | 26/02/2026 Dấu ấn Việt Nam
Nhà máy Vắc xin và Sinh phẩm VNVC ký kết mua dây chuyền sản xuất vắc xin hiện đại hàng đầu thế giới
17:16 | 24/02/2026 Dấu ấn Việt Nam
Doanh nhân Trần Văn Ngon – Doanh nhân cống hiến vì cộng đồng năm 2025
00:00 | 13/02/2026 Dấu ấn Việt Nam
Phẫu thuật nội soi lấy dị vật kim loại trong gan – Ca bệnh hiếm gặp được xử trí thành công
15:12 | 11/02/2026 Dấu ấn Việt Nam
Tổng Bí thư Tô Lâm dự lễ khởi công Trường Phổ thông nội trú liên cấp vùng biên giới
14:02 | 11/02/2026 Dấu ấn Việt Nam
Lễ Khai ấn đền Trần Xuân Bính Ngọ 2026: Gìn giữ Hào khí Đông A, lan tỏa giá trị di sản
18:35 | 10/02/2026 Dấu ấn Việt Nam
Lâm Đồng: Tăng cường kiểm tra việc thực hiện chính sách, pháp luật về BHYT
14:30 | 07/02/2026 Dấu ấn Việt Nam
Gia Lai: Trung đoàn thông tin 29 quan tâm chính sách hậu phương quân đội và công tác an sinh dịp Tết Nguyên đán
14:30 | 07/02/2026 Dấu ấn Việt Nam
Hơn 100 triệu trái tim cùng nhịp đập: Đưa Việt Nam vươn xa trong kỷ nguyên mới
17:49 | 05/02/2026 Dấu ấn Việt Nam
Đẩy mạnh việc nghiên cứu, học tập và triển khai thực hiện Nghị quyết Đại hội đại biểu toàn quốc lần thứ XIV của Đảng vào cuộc sống
23:43 | 04/02/2026 Dấu ấn Việt Nam
Hải Thượng Lãn Ông Lê Hữu Trác: Pho sử sống của Y đức và Khát vọng tự chủ Y học dân tộc
7 ngày trước Hoạt động hội
Khai Xuân Hội tụ: Liên minh các Hội Y tế và Công ty CP Ao Vua hướng về cội nguồn Tản Viên Sơn
28-02-2026 21:00 Hoạt động hội
Hội Nam Y Việt Nam Khai xuân Bính Ngọ- Kỷ niệm 71 năm Ngày Thầy thuốc Việt Nam (27/2/1955- 27/2/2026)
27-02-2026 14:30 Hoạt động hội
Lan tỏa tinh thần y đức và phát huy giá trị thuốc Nam
26-02-2026 20:06 Hoạt động hội
Hội Nam Y Việt Nam và Công ty CP Tập đoàn Ao Vua trao tặng 300 suất quà tết tại Cẩm Thủy- Thanh Hóa
03-02-2026 19:00 Hoạt động hội




