Gia Lai: Ca cấp cứu ngoại viện thần tốc giành lại sự sống cho bệnh nhân tai nạn giao thông
Cuộc gọi khẩn cấp lúc nửa đêm
Vào khoảng 23 giờ đêm ngày 25 tháng 7 năm 2025, giữa cơn mưa lớn trút xuống Pleiku, tiếng chuông báo động cấp cứu ngoại viện bất ngờ vang lên. Một nam thanh niên 20 tuổi vừa gặp phải tai nạn xe máy nghiêm trọng, đang trong tình trạng đau đớn tột độ và có dấu hiệu của những chấn thương nặng.
Không một phút chậm trễ, BSCKII Hoàng Anh Thuấn – Bác sĩ Khoa Ngoại Thần kinh – Chấn thương chỉnh hình, cùng Đội cấp cứu ngoại viện đã tức tốc lên đường. Mang theo đầy đủ trang thiết bị y tế, thuốc men sẵn sàng, ekip nhanh chóng có mặt tại hiện trường vụ tai nạn. Tại đây, bệnh nhân đã được cấp cứu ban đầu khẩn cấp: các bác sĩ tiến hành sơ cứu, cố định tạm thời phần xương gãy và sau đó cẩn trọng đưa nạn nhân về bệnh viện một cách an toàn nhất.
Phẫu thuật kịp thời
Ngay khi nhập viện, ekip Khoa Ngoại Thần kinh – Chấn thương chỉnh hình lập tức tiến hành hội chẩn khẩn. Kết quả cho thấy bệnh nhân bị gãy hai tầng xương đùi trái – một dạng chấn thương phức tạp, có nguy cơ ảnh hưởng nghiêm trọng đến khả năng vận động.
![]() |
| BSCKII Hoàng Anh Thuấn - Khoa Ngoại Thần kinh - Chấn thương chỉnh hình, đang thực hiện ca phẫu thuật. |
Ca phẫu thuật được thực hiện ngay trong đêm. Với phương pháp kết hợp xương hiện đại, các bác sĩ đã cố định vững chắc phần xương gãy mà không cần mở rộng vùng tổn thương, giúp giảm thiểu sang chấn mô mềm và tối ưu khả năng hồi phục cho bệnh nhân.
Kỳ tích trong "100 phút vàng"
Từ thời điểm đội cấp cứu tiếp cận hiện trường vụ tai nạn cho đến khi ca phẫu thuật kết thúc thành công, chỉ vỏn vẹn 100 phút đã trôi qua. Đây là khoảng thời gian đầy căng thẳng, nhưng cũng là minh chứng rõ ràng cho sự chuyên nghiệp, phản ứng nhanh nhạy và kỹ năng điều trị xuất sắc của toàn bộ ekip cấp cứu ngoại viện và đội ngũ phẫu thuật.
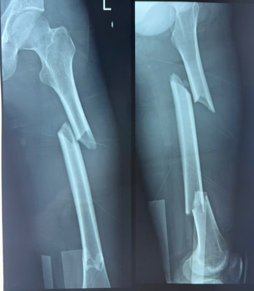
![]() |
| Vị trí xương đùi trái bị gãy phức tạp của nạn nhân trong vụ tai nạn giao thông. |
Sau ca mổ, bệnh nhân tỉnh táo, huyết động ổn định – một kết quả tuyệt vời giữa cuộc chạy đua sinh tử trong đêm mưa. Sau ca mổ đầy nỗ lực, bệnh nhân đã tỉnh táo và huyết động ổn định – một kết quả tuyệt vời trong cuộc chạy đua giành giật sự sống giữa đêm mưa tầm tã.
![]() |
| Hình ảnh xương đùi đã được cố định sau phẫu thuật. |
Một lần nữa, Đội cấp cứu ngoại viện của Bệnh viện Đại học Y Dược – Hoàng Anh Gia Lai đã khẳng định năng lực chuyên môn cao, sự tận tâm và khả năng phối hợp nhuần nhuyễn trong các tình huống cấp cứu khẩn cấp. Bệnh viện tự hào là địa chỉ y tế đáng tin cậy, luôn sẵn sàng tiếp nhận và xử lý mọi tình huống nguy cấp, mang lại cơ hội sống và tương lai tươi sáng cho người bệnh.
Tin liên quan
Bệnh viện Đại học Y Dược - Hoàng Anh Gia Lai đầu tư nâng cao hạ tầng kỹ thuật khám chữa bệnh
07:44 | 11/02/2026 Tin tức
Phòng chẩn trị Y học cổ truyền Ngọc Mỹ: Giữ mạch nguồn y học gia truyền - tiếp nối niềm tin người bệnh
19:35 | 28/01/2026 Sức khỏe
Những món quà xuân ấm áp đến với học sinh nghèo vượt khó tại Cần Đước
20:50 | 19/01/2026 Tin tức
Cùng chuyên mục
Bộ Y tế thông tin về thời gian thực hiện các kỹ thuật y tế để thanh toán BHYT
07:07 | 17/04/2026 Tin tức
BVĐK Đức Giang tăng tốc triển khai kỹ thuật cao: Đẩy mạnh hợp tác can thiệp mạch với BV TW Quân đội 108
17:16 | 16/04/2026 Tin tức
Đắk Lắk: Báo chí phản ánh kịp thời, toàn diện tình hình mọi mặt trên địa bàn tỉnh
15:19 | 16/04/2026 Tin tức
Các cơ sở khám chữa bệnh phải hoàn thành hồ sơ bệnh án điện tử trong năm 2026
15:51 | 15/04/2026 Tin tức
Giải pháp xử lý bao bì thuốc bảo vệ thực vật an toàn đảm bảo sức khoẻ cộng đồng
18:51 | 14/04/2026 Tin tức
Cảnh báo bệnh tay chân miệng và sốt xuất huyết tiếp tục gia tăng, nhiều ca nặng
18:18 | 14/04/2026 Tin tức
Các tin khác
Bộ Y tế đề xuất nâng mức chuẩn trợ giúp xã hội, mức trợ cấp hưu trí xã hội
11:08 | 14/04/2026 Tin tức
Ca bệnh do não mô cầu gia tăng
11:07 | 14/04/2026 Tin tức
Mở rộng dịch vụ khám ngoài giờ, nâng cao hiệu quả điều trị toàn diện
07:33 | 14/04/2026 Tin tức
Đắk Lắk: Hội thảo khoa học chia sẻ kinh nghiệm chăm sóc và điều trị vết thương mạn tính
19:02 | 11/04/2026 Tin tức
Gia Lai: Trung đoàn Thông tin 29 tổ chức thành công Hội thi Báo cáo viên giỏi năm 2026
11:20 | 11/04/2026 Tin tức
Hội nghị Ban Thường vụ Hội Nam Y Việt Nam lần thứ 14: Kiến tạo nền móng cho nhiệm kỳ mới và nâng tầm vị thế y học dân tộc
11:01 | 11/04/2026 Hoạt động hội
Bà Lâm Thị Phương Thanh giữ chức Bộ trưởng Bộ Văn hóa, Thể thao và Du lịch
20:29 | 10/04/2026 Tin tức
Đắk Lắk: khai mạc "Ngày hội Sách và Văn hóa đọc lần thứ 5 - năm 2026"
14:19 | 10/04/2026 Tin tức
Hội Bảo vệ Người tiêu dùng Việt Nam bổ nhiệm, kiện toàn nhân sự Ban Thường vụ và Ban Chấp hành
15:19 | 08/04/2026 Tin tức
Lâm Đồng: Giải vô địch các đội mạnh lân sư rồng toàn quốc năm 2026 có 16 đoàn tham gia
09:13 | 08/04/2026 Tin tức
Hội nghị Ban Thường vụ Hội Nam Y Việt Nam lần thứ 14: Kiến tạo nền móng cho nhiệm kỳ mới và nâng tầm vị thế y học dân tộc
5 ngày trước Hoạt động hội
Hành Trình "Về Nguồn": Lãnh Đạo Hội Nam Y Việt Nam Dâng Hương Tại Cụm Di Tích Y Thánh Tuệ Tĩnh
01-04-2026 21:00 Hoạt động hội
Chi hội Nam Y tỉnh Thái Nguyên: Tổng kết công tác năm 2025 và triển khai nhiệm vụ trọng tâm năm 2026
26-03-2026 21:00 Hoạt động hội
Thiền Năng lượng sinh học: Hành trình lan tỏa sức mạnh chữa lành từ tâm
23-03-2026 08:00 Hoạt động hội
Hội Nam Y Việt Nam Tổng kết Hoạt động năm 2025 và Phát động phong trào Thi đua năm 2026: Khát vọng vươn tầm Y học Dân tộc
21-03-2026 21:00 Hoạt động hội






