Bệnh viện Việt Đức: Điều trị đa mô thức kết hợp phẫu thuật giúp bệnh nhân ung thư gan giai đoạn muộn vượt qua lằn ranh sinh tử
Từ tiên lượng sống tính bằng tháng
Cách đây 4 năm, bệnh nhân N.T.Đ. (64 tuổi) được chẩn đoán ung thư biểu mô tế bào gan (HCC) gan phải giai đoạn muộn, khối u lớn kèm huyết khối tĩnh mạch cửa lan vào thân chung và lan sang tĩnh mạch cửa trái, trên nền viêm gan B mạn tính và xơ gan. Sau quá trình điều trị tại tuyến dưới, bệnh nhân được chuyển đến Bệnh viện Hữu nghị Việt Đức.
Mặc dù đã được thăm khám tại nhiều cơ sở y tế lớn, song với tình trạng bệnh ở giai đoạn này, tiên lượng sống của người bệnh chỉ được các bác sĩ đánh giá tính bằng tháng. Đứng trước thực tế khắc nghiệt đó, bệnh nhân và gia đình gần như đã chuẩn bị tâm lý cho kịch bản xấu nhất.
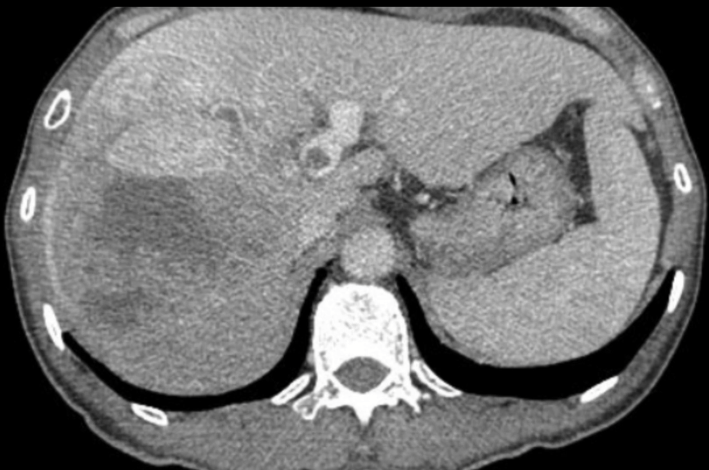
![]() |
| Hình ảnh phim chụp cắt lớp vi tính cho thấy khối u lớn gan phải kèm huyết khối tĩnh mạch cửa lan vào thân chung và tĩnh mạch cửa trái. |
Quyết định táo bạo từ hội chẩn đa chuyên khoa
Theo TS.BS Cao Mạnh Thấu – Phó Trưởng khoa Ung bướu & Xạ trị, Bệnh viện Hữu nghị Việt Đức, với những trường hợp ung thư gan giai đoạn muộn kèm huyết khối tĩnh mạch cửa, việc đánh giá toàn trạng bệnh nhân và chức năng gan đóng vai trò đặc biệt quan trọng. Bên cạnh đó, cần xác định chính xác vị trí và mức độ lan của huyết khối tĩnh mạch cửa, đánh giá khả năng có di căn xa hay không, đo đạc tỉ mỉ thể tích gan còn lại, đồng thời phát hiện các bất thường giải phẫu nếu có trước khi đưa ra quyết định phẫu thuật.
Sau khi cân nhắc kỹ lưỡng và tiến hành hội chẩn đa chuyên khoa gồm ung bướu – xạ trị, chẩn đoán hình ảnh, gây mê hồi sức, ngoại khoa, dinh dưỡng và dược lâm sàng, cùng với sự quyết tâm cao độ của bệnh nhân và gia đình, các bác sĩ đã đưa ra một quyết định đầy thách thức: phẫu thuật triệt để.
Ca mổ phức tạp, đòi hỏi kinh nghiệm và bản lĩnh
Ê-kíp phẫu thuật đã tiến hành cắt gan phải, cắt một phần hạ phân thùy I (S1R, S1C), cắt túi mật, nạo vét hạch cuống gan, kết hợp lấy huyết khối tĩnh mạch cửa thân chung và tĩnh mạch cửa trái, đồng thời tạo hình lại tĩnh mạch cửa.
Theo TS.BS Cao Mạnh Thấu, đây là một kỹ thuật phẫu thuật phức tạp, đòi hỏi trình độ chuyên môn cao và kinh nghiệm dày dặn. Trong quá trình mổ, phẫu thuật viên phải hạn chế tối đa việc thao tác trực tiếp lên khối u lớn ở gan phải, nhằm tránh nguy cơ huyết khối tiếp tục lan sâu sang gan lành (gan trái). Việc kiểm soát chặt chẽ các mạch máu quan trọng, đặc biệt là động mạch gan và tĩnh mạch cửa, có ý nghĩa then chốt.
Kỹ thuật sử dụng bóng Forgaty để kiểm soát và lấy toàn bộ huyết khối, sau đó tạo hình lại tĩnh mạch cửa đã được thực hiện thành công. Hậu phẫu, bệnh nhân diễn biến thuận lợi, chức năng gan trái đảm bảo, lưu lượng tuần hoàn tĩnh mạch cửa duy trì bình thường.
![]() |
| Kỹ thuật cắt gan tiếp cận đường trước (anterior approach) kết hợp lấy huyết khối tĩnh mạch cửa bằng bóng Forgaty và hình ảnh gan trái sau phẫu thuật. |
Điều trị đa mô thức – chìa khóa kéo dài sự sống
Theo TS.BS Cao Mạnh Thấu, nếu chỉ đơn thuần phẫu thuật mà không phối hợp các phương pháp điều trị phù hợp khác, hiệu quả điều trị sẽ không đạt tối ưu. Vì vậy, sau mổ, bệnh nhân tiếp tục được áp dụng chiến lược điều trị đa mô thức, bao gồm truyền hóa chất động mạch gan, kết hợp điều trị toàn thân.
Cách tiếp cận toàn diện này không chỉ giúp kiểm soát bệnh tốt hơn mà còn bảo đảm an toàn cho người bệnh, góp phần cải thiện đáng kể thời gian sống và chất lượng cuộc sống.
![]() |
| TS.BS Cao Mạnh Thấu trao đổi trực tiếp với bệnh nhân về ca phẫu thuật và kế hoạch điều trị. |
Bốn năm nhìn lại – kết quả ngoài mong đợi
Sau 4 năm tái khám định kỳ, kết quả chụp cắt lớp vi tính cho thấy gan trái của bệnh nhân hoạt động tốt, tĩnh mạch cửa thông thoáng, không phát hiện u tái phát tại gan và không có di căn xa – một kết quả hiếm gặp đối với ung thư gan giai đoạn muộn kèm huyết khối tĩnh mạch cửa.
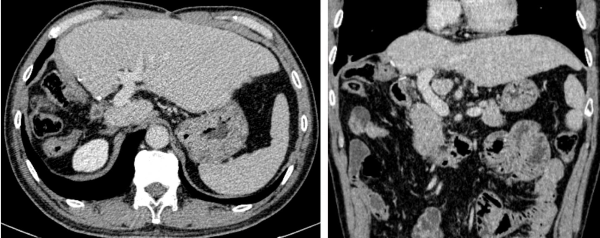
![]() |
| Hình ảnh chụp cắt lớp vi tính sau 4 năm cho thấy gan trái tốt, không tái phát, không di căn xa. |
Cảnh báo cho người bệnh viêm gan B
Theo các chuyên gia, trên thế giới cũng như tại Việt Nam, phần lớn bệnh nhân ung thư gan kèm huyết khối tĩnh mạch cửa được phát hiện ở giai đoạn muộn, do đó thường chỉ được chỉ định điều trị giảm nhẹ và chăm sóc triệu chứng. Trong thực hành lâm sàng, không ít trường hợp tổn thương gan ban đầu bị nhầm lẫn là u lành tính.
Tuy nhiên, dưới góc độ ung thư học, đặc biệt ở bệnh nhân viêm gan B mạn tính, bất kỳ tổn thương nào tại gan cũng cần được đánh giá hết sức thận trọng. Các bác sĩ Bệnh viện Hữu nghị Việt Đức khuyến cáo, người mắc viêm gan B khi phát hiện có tổn thương gan cần được theo dõi và đánh giá kỹ lưỡng tại các cơ sở y tế chuyên khoa sâu về gan mật. Không nên chủ quan với chẩn đoán u lành tính ban đầu, bởi nguy cơ ác tính luôn tiềm ẩn.
Tin liên quan
Kỳ tích hồi sinh tại Bệnh viện Việt Đức– Nơi trái tim và trí tuệ người thầy thuốc thắp lại sự sống
22:27 | 27/10/2025 Tin tức
Hành trình hồi sinh kỳ diệu - bàn tay vàng tập thể y bác sĩ Bệnh viện Việt Đức: Cứu sống người đàn ông mang khối u “khổng lồ” 13kg
22:28 | 27/10/2025 Tin tức
Yêu cầu đưa Bệnh viện Bạch Mai, Việt Đức Cơ sở 2 vào hoạt động trước ngày 30/11
20:52 | 06/10/2025 Tin tức
Cùng chuyên mục
Giải pháp xử lý bao bì thuốc bảo vệ thực vật an toàn đảm bảo sức khoẻ cộng đồng
18:51 | 14/04/2026 Tin tức
Cảnh báo bệnh tay chân miệng và sốt xuất huyết tiếp tục gia tăng, nhiều ca nặng
18:18 | 14/04/2026 Tin tức
Bộ Y tế đề xuất nâng mức chuẩn trợ giúp xã hội, mức trợ cấp hưu trí xã hội
11:08 | 14/04/2026 Tin tức
Ca bệnh do não mô cầu gia tăng
11:07 | 14/04/2026 Tin tức
Mở rộng dịch vụ khám ngoài giờ, nâng cao hiệu quả điều trị toàn diện
07:33 | 14/04/2026 Tin tức
Đắk Lắk: Hội thảo khoa học chia sẻ kinh nghiệm chăm sóc và điều trị vết thương mạn tính
19:02 | 11/04/2026 Tin tức
Các tin khác
Gia Lai: Trung đoàn Thông tin 29 tổ chức thành công Hội thi Báo cáo viên giỏi năm 2026
11:20 | 11/04/2026 Tin tức
Hội nghị Ban Thường vụ Hội Nam Y Việt Nam lần thứ 14: Kiến tạo nền móng cho nhiệm kỳ mới và nâng tầm vị thế y học dân tộc
11:01 | 11/04/2026 Hoạt động hội
Bà Lâm Thị Phương Thanh giữ chức Bộ trưởng Bộ Văn hóa, Thể thao và Du lịch
20:29 | 10/04/2026 Tin tức
Đắk Lắk: khai mạc "Ngày hội Sách và Văn hóa đọc lần thứ 5 - năm 2026"
14:19 | 10/04/2026 Tin tức
Hội Bảo vệ Người tiêu dùng Việt Nam bổ nhiệm, kiện toàn nhân sự Ban Thường vụ và Ban Chấp hành
15:19 | 08/04/2026 Tin tức
Lâm Đồng: Giải vô địch các đội mạnh lân sư rồng toàn quốc năm 2026 có 16 đoàn tham gia
09:13 | 08/04/2026 Tin tức
Công bố top hàng hóa, dịch vụ được người tiêu dùng tin cậy năm 2025
09:55 | 07/04/2026 Tin tức
Lâm Đồng: Chấn chỉnh công tác kiểm soát giết mổ, tăng cường kỷ luật, kỷ cương trong thực thi công vụ
09:02 | 07/04/2026 Tin tức
Lâm Đồng: Kinh tế - xã hội đạt nhiều kết quả tích cực trong quý I năm 2026
20:14 | 06/04/2026 Tin tức
Hưởng ứng Ngày Sức khỏe toàn dân: MEDLATEC chung tay nâng cao nhận thức chăm sóc sức khỏe chủ động
13:30 | 06/04/2026 Dấu ấn Việt Nam
Hội nghị Ban Thường vụ Hội Nam Y Việt Nam lần thứ 14: Kiến tạo nền móng cho nhiệm kỳ mới và nâng tầm vị thế y học dân tộc
3 ngày trước Hoạt động hội
Hành Trình "Về Nguồn": Lãnh Đạo Hội Nam Y Việt Nam Dâng Hương Tại Cụm Di Tích Y Thánh Tuệ Tĩnh
01-04-2026 21:00 Hoạt động hội
Chi hội Nam Y tỉnh Thái Nguyên: Tổng kết công tác năm 2025 và triển khai nhiệm vụ trọng tâm năm 2026
26-03-2026 21:00 Hoạt động hội
Thiền Năng lượng sinh học: Hành trình lan tỏa sức mạnh chữa lành từ tâm
23-03-2026 08:00 Hoạt động hội
Hội Nam Y Việt Nam Tổng kết Hoạt động năm 2025 và Phát động phong trào Thi đua năm 2026: Khát vọng vươn tầm Y học Dân tộc
21-03-2026 21:00 Hoạt động hội







