Trồng răng implant: Tỷ lệ biến chứng, nguyên nhân và giải pháp
Tỷ lệ biến chứng khi trồng răng implant
Biến chứng trồng răng implant có thể xảy ra trong quá trình phẫu thuật và trong quá trình sử dụng răng implant của bệnh nhân. Biểu hiện thường gặp sẽ là: sưng đau, chảy máu kéo dài; viêm - nhiễm trùng quanh trụ implant; tổn thương các mô lân cận vị trí cấy ghép implant; trụ implant bị gãy hoặc có thể dẫn đến đào thải trụ … Đây là những biến chứng gây ra tổn thương nặng nề cho bệnh nhân không chỉ về kinh tế mà cả về tinh thần.
Theo bác sĩ Nguyễn Hoàng Dương - Chuyên gia cấy ghép implant tại Nha khoa Lạc Việt Intech: “Với công nghệ hiện đại, trình độ tay nghề bác sĩ implant cao như hiện nay thì tỷ lệ thành công khi trồng răng implant có thể lên đến hơn 95%. Con số này cho thấy rằng trồng răng implant tại Việt Nam không hề thua kém so với bất kỳ quốc gia phát triển nào trên thế giới. Tuy vậy, vẫn còn khoảng 5% tỷ lệ biến chứng tiềm ẩn khi cấy ghép implant. Con số này tuy không lớn nhưng cũng là lưu ý quan trọng vì sẽ gây ra hậu quả vô cùng nặng nề cho bệnh nhân mất răng”
![]() |
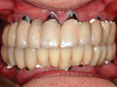
| Biến chứng trồng răng dẫn đến lộ chân răng, viêm nhiễm quanh implant và đào thải trụ |
Nguyên nhân biến chứng không chỉ nằm ở quy trình trồng răng implant không đảm bảo các điều kiện vô trùng, vô khuẩn, bác sĩ thiếu kinh nghiệm và trình độ chuyên môn. Mà còn nằm ở việc nhiều nha khoa vẫn sử dụng công nghệ trồng răng implant cũ, bác sĩ không có sự hỗ trợ của máy móc hiện đại từ đó dẫn đến sai số gây ra hậu quả nghiêm trọng, răng implant sử dụng thiếu vững ổn. Vì trồng răng implant là việc đặt một trụ implant vào trong xương hàm nơi có rất nhiều cấu trúc giải phẫu, ống thần kinh cần độ chính xác tuyệt đối.
Công nghệ trồng răng implant giúp giải quyết triệt để các nguy cơ biến chứng
Ngoài bác sĩ giỏi thì công nghệ hiện đại chính là giải pháp giúp giảm tỷ lệ biến chứng khi trồng răng implant xuống mức thấp nhất. Và hiện nay, 3 công nghệ hiện đại được áp dụng trên thế giới đó là: Công nghệ phẫu thuật đặt trụ implant USI, công nghệ trụ phục hình cá nhân hóa PDI và công nghệ răng sứ CMI. Tại nha khoa Lạc Việt Intech đã ứng dụng thành công giải pháp trồng răng implant DCT với sự kết hợp của bộ 3 công nghệ trên cho tất cả các trường hợp mất răng. Điều này giúp tăng tỷ lệ thành công khi trồng răng implant và giảm tỷ lệ biến chứng trồng răng xuống còn 0,001%.
![]() |
| Bác sĩ tại Nha khoa Lạc Việt Intech tư vấn kế hoạch điều trị cho khách hàng với giải pháp trồng răng implant DCT |
Thứ nhất để giải quyết biến chứng trong quá trình phẫu thuật công nghệ USI ra đời sẽ được hỗ trợ lên phác đồ bằng phương pháp smart - tech: giúp tầm soát giả lập tổng thể cấu trúc xương hàm của từng bệnh nhân, rà soát cấu trúc vi thể hệ thống mạch máu và thần kinh, tính toán chính xác mật độ tế bào xương từng vị trí cụ thể trong xương hàm từ đó đưa ra gợi ý giúp bác sĩ lựa chọn được vị trí xương tốt nhất, chính xác nhất.
Thêm vào đó khi phẫu thuật sử dụng sóng siêu âm cao tần với cơ chế rung vi sóng đặt lỗ chờ implant, ngăn ngừa cắt xương do dụng cụ quay và bảo tồn được cấu trúc xương, hạn chế xâm lấn rạch vạt lợi, kết hợp cùng máng định vị 3D Guide, giúp quá trình phẫu thuật nhẹ nhàng, chính xác. Triệt tiêu biến chứng Sưng đau, chảy máu kéo dài dẫn đến đào thải trụ.
Thứ hai, Việc sử dụng trụ phục hình cá nhân hóa trong công nghệ PDI và công nghệ răng sứ CMI là giải pháp triệt tiêu những biến chứng trong quá trình sử dụng ảnh hưởng tới tuổi thọ của implant trong xương hàm.
Đầu tiên trụ phục hình cá nhân hóa giúp tái tạo hình thể lợi qua 3 chiều không gian, đường hoàn tất uốn lượn tái lập được hàng rào sinh học bảo vệ chân răng implant phía dưới. Chính vì thế khi áp dụng công nghệ này răng implant sẽ bền vững, ăn nhai tốt, giảm triệt để biến chứng viêm nhiễm quanh chân răng implant dẫn đến đào thải trụ thiếu vững ổn trong quá trình sử dụng.
Rất nhiều bệnh nhân gặp phải biến chứng gãy, hỏng răng implant và răng đối do sử dụng răng sứ công nghệ cũ gây ra. Công nghệ răng sứ CMI ra đời đã giải quyết được hoàn toàn điều đó khi sử dụng răng toàn sứ 3D Pro Multilayer đa lớp có màu sắc, độ trong mờ, xuyên sáng y đúc răng thật, ngoài ra có độ cứng biến thiên nên không gây nguy hại cho răng đối
Như vậy, có thể thấy với sự phát triển của công nghệ hiện đại đã đem đến giải pháp trồng răng implant DCT giúp triệt tiêu biến chứng trồng răng implant. Bệnh nhân mất răng có thể hoàn toàn yên tâm khi tiến hành trồng răng implant khôi phục răng mất ngay hôm nay.
Cùng chuyên mục
Tâm lý Nhi 315 – Hiểu con sớm, đồng hành đúng để con phát triển toàn diện
08:00 | 16/12/2025 Khỏe - Đẹp
VNVC đưa về vắc xin RSV thế hệ mới, “siêu lá chắn” bảo vệ người lớn trước bệnh hô hấp nguy hiểm
08:00 | 15/12/2025 Khỏe - Đẹp
Vì sao nội soi giảm mỡ trở thành bước ngoặt trong làm đẹp Việt Nam?
21:46 | 13/12/2025 Khỏe - Đẹp
Hợp chất trong sôcôla đen giúp làm chậm quá trình lão hóa: Phát hiện mới đầy triển vọng
15:13 | 13/12/2025 Khỏe - Đẹp
Ô nhiễm không khí: Hiểm họa từ bụi mịn và cách bảo vệ sức khỏe
15:13 | 13/12/2025 Khỏe - Đẹp
Những triệu chứng đặc trưng xuất hiện trước khi xảy ra nhồi máu cơ tim
15:13 | 13/12/2025 Khỏe - Đẹp
Các tin khác
Sai lầm khiến bạn dễ mắc cảm cúm vào mùa đông
15:13 | 13/12/2025 Khỏe - Đẹp
Những lưu ý khi ăn gạo lứt để có lợi cho sức khỏe
09:20 | 13/12/2025 Khỏe - Đẹp
Sức khỏe cộng đồng trước tình trạng ô nhiễm hóa chất nông nghiệp
17:45 | 12/12/2025 Khỏe - Đẹp
Hoạt động thể chất có thể làm chậm sự phát triển khối u – Kết quả nghiên cứu tại Đại học Yale
17:44 | 12/12/2025 Khỏe - Đẹp
[Infographic] 5 loại hạt tốt cho sức khỏe
07:30 | 11/12/2025 Infographic
Kiểm soát vi sinh vật trong thực phẩm – hướng đến sản xuất sạch
01:13 | 11/12/2025 Khỏe - Đẹp
Ô nhiễm chéo trong bảo quản nông sản và các bệnh lý có thể phát sinh
01:13 | 11/12/2025 Khỏe - Đẹp
Nâng cao nhận thức ATTP cho hộ sản xuất nhỏ lẻ: Vai trò của truyền thông khoa học
01:12 | 11/12/2025 Khỏe - Đẹp
Ô nhiễm nguồn nước nông thôn: Yếu tố nguy cơ bệnh tật và giải pháp
01:12 | 11/12/2025 Khỏe - Đẹp
Bụi nông nghiệp và bệnh đường hô hấp ở cộng đồng nông thôn
01:12 | 11/12/2025 Khỏe - Đẹp
Hội Nam Y Việt Nam và hành trình lan tỏa yêu thương đến 280 hộ đồng bào Rục ở Kim Phú (Quảng Trị)
5 ngày trước Hoạt động hội
Diễn đàn quốc tế Lạc Bệnh Học lần thứ 21: Hội Nam Y Việt Nam làm cầu nối đưa Lạc Bệnh Học vươn tầm thế giới
23-11-2025 07:00 Tin tức
Hội thảo khoa học “Sức khỏe não bộ: Phòng ngừa suy giảm và tăng cường trí nhớ” - Cùng hành động và chăm sóc sức khỏe cộng đồng
09-11-2025 17:00 Hoạt động hội
Chi hội Nam y Trà Vinh tổ chức thành công đại hội đại biểu lần thứ II, nhiệm kỳ 2025-2030
04-11-2025 10:14 Hoạt động hội
Chi hội Nam y tỉnh An Giang lan tỏa yêu thương – trao gửi niềm tin tới người dân khó khăn khóm Long Thạnh
17-10-2025 21:58 Hoạt động hội






