ĐẶC ĐIỂM LAO PHỔI TRÊN BỆNH NHÂN ĐÁI THÁO ĐƯỜNG
Tóm tắt:
Đái tháo đường làm tăng nguy cơ phát triển lao phổi do tình trạng tăng đường huyết làm suy yếu hệ miễn dịch qua trung gian tế bào và miễn dịch mắc phải, dẫn đến sự chuyển đổi từ lao tiềm ẩn sang lao hoạt động. Ngược lại, lao phổi làm suy yếu chức năng tế bào đảo tụy và các thuốc điều trị lao làm rối loạn sự cân bằng đường huyết, từ đó làm tăng nguy cơ phát triển bệnh đái tháo đường ở bệnh nhân mắc lao phổi. Ngoài ra, việc đồng mắc lao phổi và đái tháo đường làm tăng nguy cơ thất bại điều trị, tái phát và tử vong so với bệnh lao đơn thuần. Vì vậy, cần thiết phải sàng lọc chủ động lao phổi ở bệnh nhân đái tháo đường và ngược lại, nhằm phát hiện sớm và giảm thiểu gánh nặng kép của bệnh lao phổi kèm đái tháo đường.
Từ khóa: Đái tháo đường; miễn dịch; lao phổi
DOI: https://doi.org/10.63472/sucv.06202507
Summary:
Pulmonary tuberculosis (TB) risk is increased in patients with diabetes mellitus due to hyperglycemia-induced impairment of both cell-mediated and acquired immune responses, which facilitates the progression from latent TB infection to active disease. Conversely, pulmonary TB can impair pancreatic islet cell function, and anti-TB medications may disrupt glucose homeostasis, thereby increasing the risk of developing diabetes in TB patients. Moreover, the comorbidity of pulmonary TB and diabetes is associated with higher risks of treatment failure, relapse, and mortality compared to TB alone. Therefore, active screening for pulmonary TB among diabetic patients—and vice versa—is essential for early detection and to reduce the dual burden of TB and diabetes.
Keywords: Diabetes mellitus; Immunity; Pulmonary tuberculosis.
Ngày nhận bài: 22/4/2025.
Ngày phản biện khoa học: 25/4/2025
Ngày Duyệt đăng: 5/5/2025
Bài đăng trên Tạp chí in Sức Khỏe Việt số Tháng 5+6/2025
1. GIỚI THIỆU
Bệnh lao là một bệnh nhiễm khuẩn mạn tính do trực khuẩn Mycobacterium tuberculosis gây nên. Bệnh lây lan chủ yếu qua đường hô hấp do hít phải chất tiết có chứa vi khuẩn lao. Lao phổi là thể bệnh lao thường gặp nhất, chiếm 80–85% các thể lao [1].
Tổng cộng 8,2 triệu người trên toàn cầu được báo cáo là mới được chẩn đoán mắc bệnh lao, trong đó có 6,9 triệu người mắc lao phổi, chiếm 84% vào năm 2023, cao hơn nhiều so với mức 6,4 triệu vào năm 2021 [2].
Đái tháo đường là một rối loạn chuyển hóa đặc trưng bởi tình trạng tăng đường huyết mạn tính, do rối loạn về kháng insulin và/hoặc suy giảm bài tiết insulin. Đái tháo đường type 2 là kết quả của tình trạng tiết insulin bị suy giảm và tình trạng kháng insulin tăng lên. Trong khi đó, đái tháo đường type 1 là một bệnh tự miễn do các tế bào β của tuyến tụy bị phá hủy, dẫn đến mất khả năng sản xuất insulin [3]. Bằng chứng cho thấy cả bệnh tiểu đường type 1 và type 2 đều có thể làm tăng nguy cơ mắc bệnh lao. Tuy nhiên, vì bệnh đái tháo đường type 2 chiếm 85–95% các trường hợp đái tháo đường trên toàn cầu nên gánh nặng của bệnh đi kèm từ bệnh đái tháo đường type 2 lớn hơn nhiều [4].
Theo Liên đoàn Đái tháo đường Thế giới, tỷ lệ mắc bệnh đái tháo đường toàn cầu vào năm 2019 ước tính là 9,3%, dự kiến tăng lên 10,2% vào năm 2030 và 10,9% vào năm 2045. Cứ hai người mắc bệnh đái tháo đường thì có một người (50,1%) không biết mình bị bệnh. Từ kết quả trên cho thấy gần nửa tỷ người trên thế giới đang sống chung với bệnh đái tháo đường và con số này dự kiến sẽ tăng 25% vào năm 2030 và 51% vào năm 2045 [5].
Trên toàn cầu, ước tính có khoảng 9,6 triệu bệnh nhân mới mắc bệnh lao hoạt động hàng năm, trong số đó một triệu người mắc cả bệnh lao và đái tháo đường [6].
Theo Tổ chức Y tế Thế giới, những bệnh nhân đái tháo đường có nguy cơ mắc bệnh lao cao hơn những người khác gấp 3 đến 5 lần. Một tỷ lệ không nhỏ người bệnh phát hiện lao phổi sau 5 năm mắc đái tháo đường, gần 2/3 trường hợp đái tháo đường phát hiện trước bệnh lao [1].
2. NỘI DUNG
2.1 Cơ chế bệnh sinh
Bệnh đái tháo đường (ĐTĐ) làm tăng nguy cơ phát triển bệnh lao thông qua hai cơ chế: suy yếu hệ miễn dịch qua trung gian tế bào, khiến bệnh nhân dễ bị nhiễm trùng hơn và suy yếu hệ miễn dịch mắc phải, dẫn đến sự chuyển đổi từ lao tiềm ẩn sang lao hoạt động.
Cơ chế suy giảm miễn dịch bẩm sinh ở bệnh nhân đái tháo đường và nguy cơ mắc lao phổi:
Sự khác biệt trong miễn dịch bẩm sinh giữa bệnh nhân đái tháo đường và không mắc đái tháo đường có ảnh hưởng lớn đến sự nhạy cảm và sinh bệnh của các nhiễm trùng, bao gồm cả bệnh lao. Các nghiên cứu đã chỉ ra rằng chức năng của tế bào bạch cầu trung tính (neutrophils), đại thực bào (macrophages), tế bào Dendritic (DC), tế bào giết tự nhiên (NK cells) và một số thành phần khác của miễn dịch bẩm sinh bị suy giảm đáng kể do sự thay đổi chuyển hóa trong đái tháo đường. Do đó, rối loạn miễn dịch có thể đóng vai trò quan trọng trong việc tái hoạt động và sự nhạy cảm của cơ thể đối với nhiễm lao từ bên ngoài.
Nhiễm Mycobacterium tuberculosis (MTB) ban đầu vào đại thực bào phế nang (AM) qua việc hít phải vi khuẩn sẽ kích hoạt phản ứng miễn dịch bẩm sinh, thu hút nhiều loại tế bào myeloid vào phế nang. Các đại thực bào phế nang đóng vai trò trung tâm trong việc nhiễm và tái tạo MTB. Những đại thực bào này sẽ nuốt vi khuẩn và bao quanh chúng trong các phagosome, kết hợp với lysosome để tiêu hóa vi khuẩn và sản xuất các phân tử kháng khuẩn như các intermediates nitơ phản ứng. Chúng cũng có vai trò thiết yếu trong việc hình thành granulomas, đặc trưng của lao ở người, chứa các tế bào miễn dịch khác như tế bào bạch cầu trung tính và tế bào T.
Bên cạnh đó, IFNγ cũng quyết định sự kích hoạt đại thực bào, và quá trình sản xuất IFNγ này được điều chỉnh bởi sự giải phóng IL-1β, IL-12 và IL-18 từ tế bào trình diện kháng nguyên (APCs) khi bị kích thích bởi mycobacteria. Vì vậy, bệnh nhân đái tháo đường type 2 có thể đặc trưng bởi việc giảm bài tiết IL-1β, IL-12 và IL-18 và đáp ứng với sự kích thích bằng việc sản xuất ít IFNγ, dẫn đến tăng nguy cơ mắc lao [3].
Cơ chế suy giảm miễn dịch mắc phải ở bệnh nhân đái tháo đường và nguy cơ mắc lao:
Miễn dịch mắc phải chống lại nhiễm MTB chủ yếu là phản ứng miễn dịch tế bào. Tế bào T hỗ trợ 1 (Th1) đóng vai trò trung tâm trong phòng thủ của cơ thể bằng cách kích thích sản xuất IFNγ, làm tăng khả năng tiêu diệt MTB phụ thuộc vào oxit nitric (NO) của đại thực bào, trong khi IL-2 là cytokine thiết yếu cho sự phát triển và nhân lên của tế bào Th1 và tế bào T CD8+, và tế bào Th17 tiết IL-17 và IL-23, đóng vai trò trong phản ứng viêm của lao. Các nhà nghiên cứu giả thuyết rằng sự suy giảm chức năng tế bào Th trong bệnh ĐTĐ sẽ là yếu tố chính cho sự phát triển của bệnh lao.
Đái tháo đường có thể tác động và/hoặc giảm tần suất tế bào Th1 và Th17 ở những người mắc lao và ĐTĐ do tần suất tế bào Th2 tăng lên, tiết IL-4; do đó, các tế bào Th2 được biết là cản trở sự phân hóa của tế bào Th1 và Th17. Không phụ thuộc vào việc tiết cytokine, một nghiên cứu khác cho thấy tần suất tế bào T CD4+ biểu hiện cytokine Th2 thực sự giảm ở những người mắc lao và ĐTĐ, cho thấy ĐTĐ có liên quan đến sự thay đổi tần suất các phân nhóm tế bào T CD4+ đặc hiệu kháng nguyên. Vì cytokine Th1 và Th2 điều chỉnh việc bài tiết cytokine với nhau, họ phát hiện rằng tỷ lệ cytokine tổng thể Th1/Th2 (IFNγ:IL-4, IFNγ:IL-5, và IFNγ:IL-10 và TNFβ:IL-4, TNFβ:IL-5, và TNFβ:IL-10) thấp hơn ở bệnh nhân lao mắc ĐTĐ so với bệnh nhân lao không mắc ĐTĐ và các đối tượng khỏe mạnh. Do đó, tỷ lệ Th1:Th2 thấp có thể góp phần vào nguy cơ nhiễm MTB dưới tình trạng ĐTĐ [3].
![]() |
Ngược lại, Bệnh lao phổi (PTB) làm tăng nguy cơ phát triển bệnh ĐTĐ ở bệnh nhân mắc lao phổi:
Cơ chế Lao phổi làm tăng nguy cơ mắc đái tháo đường:
Bệnh lao phổi làm suy yếu chức năng tế bào đảo tụy bằng cách gây ra amyloidosis tế bào đảo tụy và các thuốc điều trị lao làm rối loạn sự cân bằng glucose trong máu bằng cách ảnh hưởng đến chức năng gan và thận ở bệnh nhân mắc PTB, từ đó làm tăng nguy cơ phát triển bệnh đái tháo đường ở bệnh nhân mắc PTB.
Chức năng gan và thận đóng vai trò không thể thiếu trong việc duy trì sự ổn định của chuyển hóa glucose. Bệnh nhân mắc lao phổi có thể gặp phải rối loạn chuyển hóa glucose do tổn thương chức năng gan và thận trong quá trình điều trị lao. Đã có báo cáo rằng isoniazid có thể gây tổn thương gan trong điều trị lao.
Ngoài ra, bệnh lý amyloidosis đặc hiệu của tụy được chứng minh ở bệnh nhân nhiễm lao, trong khi bệnh amyloidosis tế bào đảo tụy nặng cũng thường xuyên được quan sát thấy ở bệnh đái tháo đường. Đáng chú ý, bệnh amyloidosis tế bào đảo tụy, như một sản phẩm phụ của nhiễm lao toàn thân, bị hòa tan bởi rifampicin; do đó, người ta cho rằng nhiễm Mycobacterium tuberculosis có thể làm tăng nguy cơ phát triển bệnh đái tháo đường bằng cách gây amyloidosis tế bào đảo tụy ở bệnh nhân mắc lao phổi [7].
![]() |
Cơ chế miễn dịch của bệnh đái tháo đường đối với mức độ nghiêm trọng và kết quả điều trị bệnh lao:
Nhiễm MTB ở bệnh nhân đái tháo đường có xu hướng tiến triển nhanh chóng với thời gian sống sót ngắn hơn, tổn thương phổi và ngoài phổi nặng nề hơn và gánh nặng vi khuẩn cao hơn so với những người không mắc ĐTĐ. Hơn nữa, sự gia tăng mức độ nghiêm trọng của bệnh, bệnh lao kê và tải lượng vi khuẩn cao sẽ góp phần làm tăng tỷ lệ tử vong ở bệnh nhân lao mắc ĐTĐ.
Nói chung, việc bài tiết cytokine chủ yếu Th1 là rất quan trọng trong việc kích hoạt đại thực bào để bảo vệ chống nhiễm MTB. Tuy nhiên, nhiễm MTB ở bệnh nhân ĐTĐ lại không kiểm soát được sự phát triển của vi khuẩn do mức độ cytokine chống viêm và IL-4 tăng cao, điều này ức chế sự biểu hiện của IFNγ, dẫn đến sự tiến triển bệnh nhanh chóng trước khi miễn dịch thích ứng đối với MTB xuất hiện ở bệnh nhân ĐTĐ. Bệnh nhân ĐTĐ cũng có khả năng thất bại trong điều trị và tử vong trong quá trình điều trị cao hơn so với những bệnh nhân không mắc ĐTĐ [3].
2.2 Một số điểm cần lưu ý trong chẩn đoán và điều trị lao phổi trên bệnh nhân đái tháo đường:
2.2.1 Chẩn đoán
Lâm sàng:
Biểu hiện lâm sàng của lao phổi và đái tháo đường có thể chia thành 2 giai đoạn:
-
Giai đoạn đầu: Triệu chứng lâm sàng rất đa dạng, đôi khi nghèo nàn, và thường chỉ phát hiện lao phổi khi chụp X-quang. Tình trạng này chủ yếu xảy ra ở bệnh nhân có đái tháo đường type 2.
-
Giai đoạn toàn phát: Các triệu chứng điển hình gồm ho (93%), sốt (82%), đau ngực, đôi khi ho khạc ra máu và sụt cân. Cần khám toàn diện để phát hiện các ổ lao nguyên phát, như ở tiết niệu sinh dục, hạch lympho…
Ngoài ra, bệnh nhân có thể xuất hiện các triệu chứng của đái tháo đường như ăn nhiều, tiểu nhiều, và sụt cân nhanh [8].
Cận lâm sàng:
Hình ảnh X-quang phổi ở bệnh nhân lao phổi kèm đái tháo đường:
Trong khi tổn thương hang ở thùy trên thường thấy ở bệnh nhân lao phổi có hệ miễn dịch bình thường, thì tổn thương ở vùng dưới phổi, hạch bạch huyết to và tràn dịch màng phổi lại là đặc điểm phổ biến ở bệnh nhân có suy giảm miễn dịch. Do đó, hình ảnh lâm sàng và X-quang phổi của bệnh nhân lao phổi kèm đái tháo đường có thể không song hành, và tổn thương X-quang có thể nặng trong khi triệu chứng lâm sàng lại nghèo nàn [8].
![]() |
Đông đặc thùy trên phổi phải và hang trong lao phổi [9]
- (A) Hình X-quang cho thấy vùng đông đặc và một hang nhỏ ở thùy trên phổi phải.
- (B và C) Hình ảnh cắt lớp vi tính (CT) cho thấy hai hang cạnh nhau, các đám mờ không rõ ranh giới, và vùng đông đặc có hang ở thùy trên phổi phải.
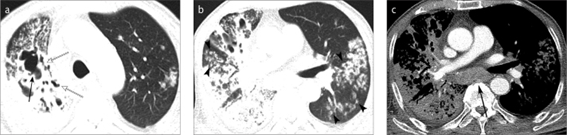
Hình ảnh CT cho thấy tổn thương ở cả hai bên và toàn bộ thùy phổi ở bệnh nhân lao phổi kèm đái tháo đường [13].
![]() |
Hình ảnh CT cho thấy tổn thương ở cả hai bên và toàn bộ thùy phổi ở bệnh nhân lao phổi có kèm đái tháo đường [13].
2.2.2 Điều trị lao phổi trên bệnh nhân đái tháo đường
Phác đồ điều trị lao phổi:
Theo Chương trình chống lao quốc gia, không có sự khác biệt về phác đồ điều trị lao phổi ở bệnh nhân có và không có đái tháo đường.
Phác đồ A1: 2RHZE/4RHE (phác đồ 6 tháng, điều trị lao ở người lớn) [10].
Ảnh hưởng của Rifampicin đến thuốc điều trị đái tháo đường:
Rifampicin có thể làm giảm hiệu quả của hầu hết các thuốc tiểu đường đường uống. Nó tăng chuyển hóa các dẫn xuất sulfonylurea ở gan, nhóm thuốc hạ đường huyết phổ biến nhất.
-
Glucagon-like peptide-1 (GLP-1) receptor agonists: Không bị ảnh hưởng bởi rifampicin.
-
Dipeptidyl peptidase-4 (DPP-4) inhibitors: Có thể bị ảnh hưởng nhẹ [4,11].
2.2.3 Điều trị đái tháo đường trên bệnh nhân lao phổi
Kiểm soát đường huyết tối ưu có thể cải thiện kết quả điều trị lao và ngăn ngừa nhiều biến chứng liên quan đến bệnh đái tháo đường.
Lựa chọn thuốc điều trị đái tháo đường cho bệnh nhân lao phổi phụ thuộc vào nhiều yếu tố, bao gồm khả năng tiếp cận, chi phí, sự dễ sử dụng và tính an toàn.
Yếu tố an toàn của các nhóm thuốc đái tháo đường
Một số tác dụng phụ quan trọng cần lưu ý khi dùng thuốc hạ đường huyết ở bệnh nhân lao:
-
Sulfonylureas và insulin: Nguy cơ hạ đường huyết.
-
Biguanides (metformin): Nguy cơ nhiễm toan lactic.
-
Biguanides, meglitinides và ức chế alpha-glucosidase: Gây rối loạn tiêu hóa.
-
Sulfonylureas: Có thể gây dị ứng, dễ nhầm lẫn với tác dụng phụ của thuốc chống lao [12].
Sử dụng insulin trong điều trị đái tháo đường ở bệnh nhân lao phổi:
-
Một số hướng dẫn điều trị quốc gia khuyến nghị dùng insulin cho bệnh nhân đái tháo đường mắc lao phổi, vì insulin không bị chuyển hóa ở gan, không tương tác với rifampicin hoặc các thuốc chống lao khác.
-
Hạn chế của insulin: Chi phí cao, cần giữ lạnh, khó sử dụng (cần tiêm) [12].
Metformin trong điều trị đái tháo đường type 2 ở bệnh nhân lao phổi:
Metformin có thể tăng cường hiệu quả hạ đường huyết khi kết hợp với rifampicin, nhưng cần chú ý đến các tác dụng phụ liên quan đến dạ dày và nguy cơ nhiễm toan lactic [11].
2.2.4 Nguy cơ kết cục điều trị lao kém đáp ứng trên bệnh nhân đái tháo đường
Đái tháo đường không chỉ là yếu tố nguy cơ gây bệnh lao tiến triển mà còn làm gia tăng nguy cơ kết cục điều trị lao kém đáp ứng. Phân tích tổng hợp cho thấy tỷ lệ thất bại điều trị lao và tử vong cao hơn ở bệnh nhân ĐTĐ so với những người không ĐTĐ.
Tương tự, nguy cơ tử vong trong quá trình điều trị lao và tái phát sau điều trị cũng cao hơn ở bệnh nhân có đái tháo đường so với những người không có đái tháo đường [4].
3. KẾT LUẬN
Tỷ lệ mắc lao phổi trên bệnh nhân đái tháo đường sẽ tiếp tục tăng do gánh nặng toàn cầu của bệnh đái tháo đường type 2 đang gia tăng. Bệnh đái tháo đường gây ra các bất thường trong cả đáp ứng miễn dịch bẩm sinh và mắc phải, làm tăng nguy cơ phát triển bệnh lao kết hợp, các biến chứng, kết quả điều trị thất bại và tử vong. Do đó, cần sàng lọc chủ động lao phổi và đái tháo đường, đồng thời triển khai các chương trình phòng ngừa hiệu quả để giảm gánh nặng kép của lao phổi kèm đái tháo đường, đặc biệt ở các quốc gia có gánh nặng bệnh lao và đái tháo đường cao. Bên cạnh đó, cần điều trị song song giữa thuốc kháng lao và thuốc hạ đường huyết một cách chính xác, theo dõi chặt chẽ tác dụng phụ và tương tác thuốc trong suốt quá trình điều trị.
TÀI LIỆU THAM KHẢO
[1] Nguyễn Thị Thu Ba (2015), Bệnh học lao, NXB Y học, tr. 36-43.
[2] J. E. Stalenhoef, B. Alisjahbana et al., “Therole of interferon-gamma in the increased tuberculosis riskin type 2 diabetes mellitus,” European Journal of ClinicalMicrobiology & Infectious Diseases, vol. 27, no. 2, pp. 97–103,2008.
[3] Birhanu Ayelign, Tadelo Wondmagegn “Tewodros Shibabaw, Immunological Impacts of Diabetes on the Susceptibility of Mycobacterium tuberculosis”, Journal of Immunology ResearchVolume 2019, Article ID 6196532, 8 https://doi.org/10.1155/2019/6196532
[4] Anca Lelia Riza , Fiona Pearson , Cesar Ugarte-Gil “Reinout van Crevel, Clinical management of concurrent diabetes and tuberculosis and the implications for patient services” Lancet Diabetes Endocrinol (2014) Sep;2(9):740-53.PMCID: PMC4852378 DOI: 10.1016/S2213-8587(14)70110-X.
[5] Pouya Saeedi , Inga Petersohn , Global and regional diabetes prevalence estimates for 2019 and projections for 2030 and 2045: Results from the International Diabetes Federation Diabetes Atlas, 9th edition, Diabetes Res Clin Pract, 2019 Nov:157:107843, PMID: 31518657 DOI: 10.1016/j.diabres.2019.107843.
[6] K. Lönnroth, G. Roglic, and A. D. Harries, “Improving tubercu-losis prevention and care through addressing the global diabetesepidemic: from evidence to policy and practice,” The LancetDiabetes & Endocrinology, vol. 2, no. 9, pp. 730–739, 2014.
[7]You-Fan Peng, “Pulmonary tuberculosis and diabetes mellitus: Epidemiology, pathogenesis and therapeutic management (Review), MEDICINE International 4: 4, 2024.
[8] Ngô Thanh Bình và cộng sự (2010), “Lao phổi và Đái tháo đường”, Nhà xuất bản Y học, tr 150-153.
[9] Anton Pozniak, MD, FRCP, Pulmonary tuberculosis disease in adults: Clinical manifestations and complications, updated: Mar 03, 2025.
[10] Bộ Y Tế (2024), “Hướng dẫn chẩn đoán, điều trị và dự phòng lao”, Quyết định số 162/QĐ-BYT ngày 19 tháng 01 năm 2024.
[11] Tornio A, Niemi M, Neuvonen PJ, Drug interactions with oral antidiabetic agents: pharmacokinetic mechanisms and clinical implications. Trends Pharmacol Sci. 2012;33:312–322. doi: 10.1016/j.tips.2012.03.001
[12] Niazi AK, Kalra S. Bệnh tiểu đường và bệnh lao: đánh giá vai trò của việc kiểm soát đường huyết tối ưu. J Diabetes Metab Disord. 2012;11:28. doi: 10.1186/2251-6581-11-28.
[13] Jihyun Kim In Jae Lee Joo-Hee Kim “CT findings of pulmonary tuberculosis and tuberculous pleurisy in diabetes mellitus patients”,Turkish Society of Radiology 2017 PMC: 28185999 ,https://doi.org/10.5152/dir.2016.16157
Tin liên quan
Đái tháo đường theo WHO: Những thông tin cần biết
16:04 | 06/08/2025 Khỏe - Đẹp
THÁI ĐỘ VỀ DỰ PHÒNG ĐỘT QUỴ NÃO CỦA NGƯỜI BỆNH ĐÁI THÁO ĐƯỜNG TYPE II TẠI BỆNH VIỆN ĐA KHOA TỈNH TRÀ VINH NĂM 2024
10:00 | 27/05/2025 Bài báo Khoa học
Xuyên phá thạch – Vị thuốc quý hỗ trợ trị đau lưng, ho ra máu, lao phổi
11:04 | 12/06/2025 Y học cổ truyền
Cùng chuyên mục
Phòng và điều trị bệnh sa sút trí nhớ theo Y học Cổ truyền
11:57 | 21/01/2026 Bài báo Khoa học
Phương pháp luyện thiền: hỗ trợ phòng ngừa sa sút trí tuệ và cải thiện trí nhớ
11:56 | 21/01/2026 Bài báo Khoa học
Kích hoạt não bộ xã hội: Oxytocin, gắn kết và sức khỏe tinh thần cộng đồng
11:56 | 21/01/2026 Bài báo Khoa học
Thiền chánh niệm trong việc cải thiện suy giảm trí nhớ ở người cao tuổi
11:55 | 21/01/2026 Bài báo Khoa học
Những thay đổi cùa cơ thể khi có tuổi và nhu cầu dinh dưỡng ở người có tuổi
11:55 | 21/01/2026 Bài báo Khoa học
10 Cách thức tuyệt vời giúp cải thiện tăng cường trí nhớ
11:55 | 21/01/2026 Bài báo Khoa học
Các tin khác
Ứng dụng của thuốc quy tỳ nghi hưng long trong chăm sóc sức khỏe bảo vệ não bộ cho trẻ rối loạn phổ tự kỷ (asd) và tăng động giảm chú ý (adhd)
11:54 | 21/01/2026 Bài báo Khoa học
Tác động của aga trầm hương lên sóng não và trạng Thái thiền trong cơ chế tự chữa lành
01:57 | 20/01/2026 Bài báo Khoa học
Một số thảo dược hỗ trợ điều trị và phục hồi suy giảm trí nhớ
01:39 | 20/01/2026 Bài báo Khoa học
Suy giảm trí nhớ của người cao tuổi: Thực trạng và giải pháp bảo vệ sức khỏe não bộ tăng cường trí nhớ bằng y học cổ truyền
01:21 | 20/01/2026 Bài báo Khoa học
Phòng ngừa và phục hồi suy giảm trí nhớ bằng dưỡng sinh tâm thể (DSTT): Cân bằng dinh dưỡng và điều hòa khí huyết não bộ
00:57 | 20/01/2026 Bài báo Khoa học
Quan điểm mới về phục hồi chức năng toàn diện trong Chăm sóc, bảo vệ và nâng cao sức khỏe người cao tuổi ở Việt Nam
00:17 | 20/01/2026 Bài báo Khoa học
Ứng dụng y học cổ truyền trong sinh hoạt hàng ngày để tăng cường sức khỏe não bộ
17:21 | 18/01/2026 Bài báo Khoa học
Liệu pháp hydro trong hỗ trợ suy giảm trí nhớ và bệnh Alzheimer: Từ cơ chế chống oxy hóa đến kết quả lâm sàng
17:19 | 18/01/2026 Bài báo Khoa học
Enzyme học và nam dược học trong phục hồi trí nhớ và tái tạo tế bào thần kinh não bộ
17:19 | 18/01/2026 Bài báo Khoa học



